
Boek vandaag nog uw consultatie! Bel nu op Whatsapp
00 90 530 644 17 32

Boek vandaag nog uw consultatie! Bel nu op Whatsapp
00 90 530 644 17 32

Boek vandaag nog uw consultatie! Bel nu op Whatsapp
00 90 530 644 17 32

Boek vandaag nog uw consultatie! Bel nu op Whatsapp
00 90 530 644 17 32

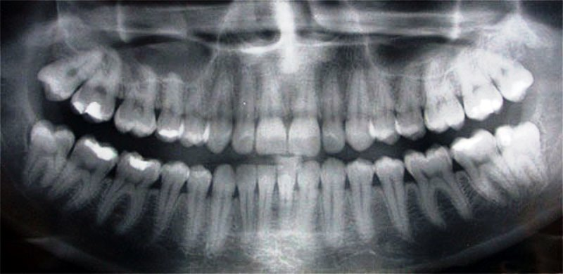
De panoramische röntgenfoto, of Panorex zoals het eerst werd genoemd, is een prachtige moderne uitvinding. Het heeft veel minder straling dan een traditionele volledige set van achttien (18) kleinere röntgenfoto’s en het is voor de patiënt veel comfortabeler om deze te maken. De panoramische röntgenfoto kan ook zeer snel worden gemaakt en is vooral nuttig als een patiënt pijn heeft. Normaal gesproken moet er elke drie (3) jaar een panoramische röntgenfoto worden gemaakt. Het maken van een reeks hiervan bij dezelfde patiënt kan helpen. de tandarts om later te bepalen of de veranderingen op de panoramische röntgenfoto normaal zijn of niet.
De panoramische röntgenfoto is niet hetzelfde als een volledige reeks tandheelkundige röntgenfoto’s. De panoramische röntgenfoto laat veel meer van de patiënt zien dan een heleboel kleinere röntgenfoto’s. Heel vaak is de zenuw die naar de onderlip gaat, de mandibulaire zenuw, niet zichtbaar bij een volledige mondset. Het verlammen van de manibulaire zenuw is een mogelijke complicatie van een tandheelkundige implantaatoperatie. Daarom is het erg belangrijk om een panorex-röntgenfoto te maken wanneer een tandheelkundige implantaatoperatie gepland is.